主要職責
中國科學院貫徹落實黨中央關于科技創新的方針政策和決策部署,在履行職責過程中堅持黨中央對科技工作的集中統一領導。主要職責是:
一、開展使命導向的自然科學領域基礎研究,承擔國家重大基礎研究、應用基礎研究、前沿交叉共性技術研究和引領性顛覆性技術研究任務,打造原始創新策源地。 更多+
院況簡介
中國科學院是國家科學技術界最高學術機構、國家科學技術思想庫,自然科學基礎研究與高技術綜合研究的國家戰略科技力量。
1949年,伴隨著新中國的誕生,中國科學院成立。建院70余年來,中國科學院時刻牢記使命,與科學共進,與祖國同行,以國家富強、人民幸福為己任,人才輩出,碩果累累,為我國科技進步、經濟社會發展和國家安全作出了不可替代的重要貢獻。 更多+
院領導集體
科技獎勵
科技期刊
科技專項
科研進展/ 更多
工作動態/ 更多
工作動態/ 更多
中國科學院學部
中國科學院院部
語音播報
完成單位:中國科學院武漢物理與數學研究所
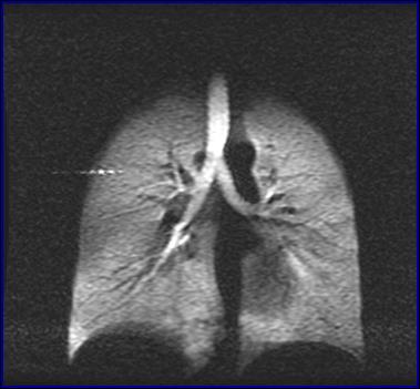
中國科學院武漢物理與數學研究所研究員周欣、中科院院士葉朝輝帶領的科研團隊克服技術難關,研制出具有自主知識產權的人體肺部氣體磁共振成像系統。該系統彌補了傳統磁共振成像不能檢測肺部空腔結構的缺陷,成功“點亮”人體肺部,且能同時獲得肺部氣氣、氣血交換的功能信息,成為肺癌等重大疾病早期科學研究和診斷的新利器。目前,該成果已轉移轉化成立產業化公司,且正在申請醫療器械注冊證。2018年7月在同濟醫院建立了第一個肺部氣體磁共振臨床檢測中心,用于大規模臨床病例獲取工作。
相關鏈接:

人體肺部氣體磁共振成像系統


左:核心裝置超極化氣體發生器 右:我國首幅人體肺部氣體磁共振成像圖
掃一掃在手機打開當前頁
© 1996 - 中國科學院 版權所有 京ICP備05002857號-1
京公網安備110402500047號 網站標識碼bm48000002
地址:北京市西城區三里河路52號 郵編:100864
電話: 86 10 68597114(總機) 86 10 68597289(總值班室)








